Quienes somos  
   
   
   
   
 

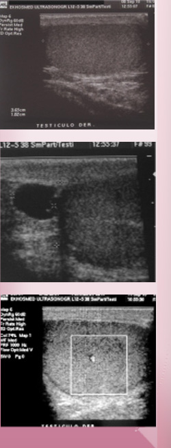
Estudia los testículos y
epidídimos además de
analizar el líquido que
los rodea.

Como todo estudio
ecográfico, no provoca
dolor y no utiliza
rayos X.

Es la primera prueba
diagnóstica en pacientes
con dolor testicular,
aumento de volumen del
testículo, ectopia
testicular, inflamación,
masa palpable o trauma.

 

 
 
 
 

Preparación para el examen

 
 
 
 

No se necesita preparación especial para este examen.